
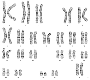
Cytogenetics is the study of chromosomal structure, location and function in cells. It includes the study of chromosome number and appearance (karyotyping), the physical location of genes on chromosomes, and chromosomal behaviour in processes such as cell division. Cytogenetics involves testing samples of tissue, blood, or bone marrow in a laboratory to look for changes in chromosomes, including broken, missing, rearranged, or extra chromosomes. Changes in certain chromosomes may be a sign of a genetic disease or condition or some types of cancer. During the past three decades, the importance of clinical cytogenetics to the practice of obstetrics and gynecology has dramatically increased because clinical cytogenetics has a direct effect on the diagnosis, management, and prevention of many disorders that are caused by chromosome aberrations. Karyotypes can reveal changes in chromosome number associated with aneuploid conditions, such as trisomy 21 (Down syndrome). Careful analysis of karyotypes can also reveal more subtle structural changes, such as chromosomal deletions, duplications, translocations, or inversions. Abnormal chromosomes can cause a variety of health problems.
Fluorescence in situ hybridization (FISH) is a molecular cytogenetic technique that uses fluorescent probes that bind to only those parts of a nucleic acid sequence with a high degree of sequence complementarity. It is a test that “maps” the genetic material in a person's cells. This test can be used to visualize specific genes or portions of genes. FISH testing is done on breast cancer tissue removed during biopsy to see if the cells have extra copies of the HER2 gene.
A chromosome microarray (CMA; also known as a chromosomal microarray or molecular karyotype) is a powerful diagnostic tool that is used to identify genetic causes of illness and developmental problems. It is used to measure the expression of multiple genes simultaneously. Chromosomal microarray (CMA) testing looks for extra (duplicated) or missing (deleted) chromosomal segments, sometimes called copy number variants (CNVs). Chromosomal microarray (CMA) is increasingly utilized for genetic testing of individuals with unexplained developmental delay/intellectual disability (DD/ID). A microarray uses comparative genomic hybridization (CGH), and single nucleotide polymorphism (SNP) technologies to determine if there are small extra (micro-duplication) or missing (micro-deletion) pieces of genomic information. These gains and losses are called copy number variants (CNVs). A CNV can be: of no medical consequence; pathogenic, resulting in physical and/or intellectual consequences; or protective against disease (e.g. HIV infection).